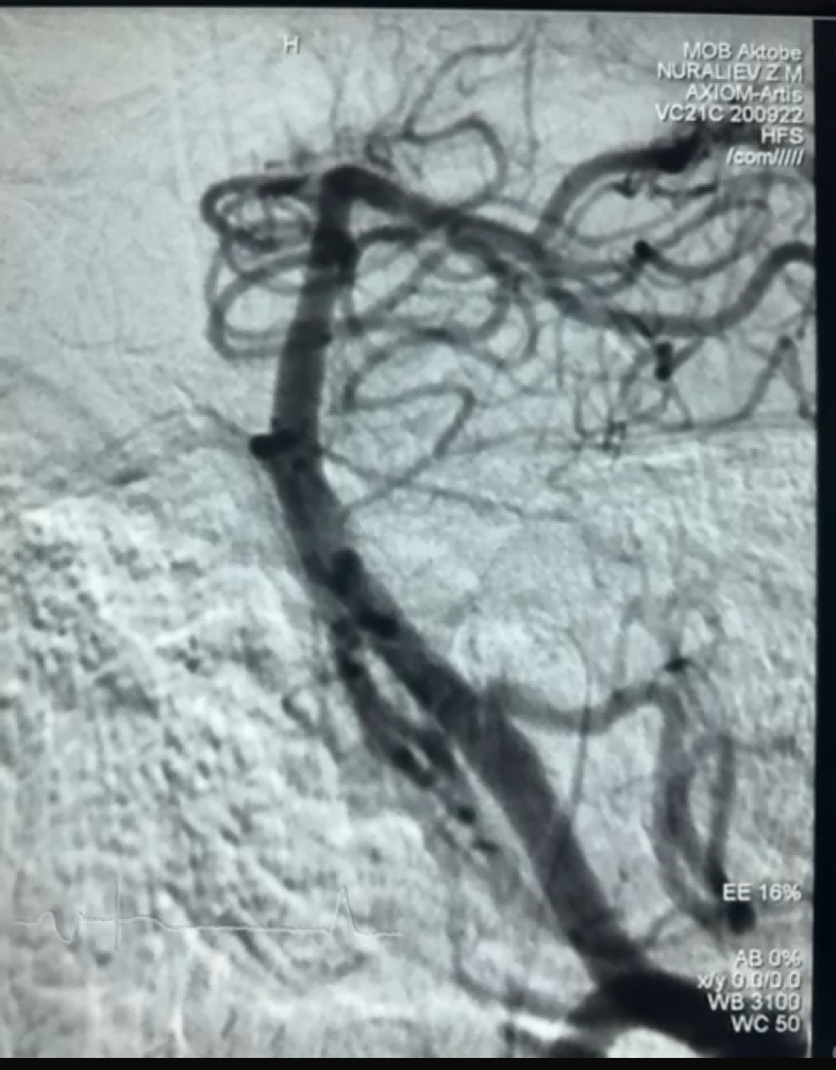
Yakın zamanda NeuroSafe Medical Co., Ltd. firmasının Dredger Stent Retriever cihazı kullanılarak başarılı bir trombektomi vakası gerçekleştirildi. Dredger Stent Retriever, intimal hasar riskini büyük ölçüde azaltan invaziv olmayan yumuşak bir uca sahiptir ve esas olarak boşluk değişikliklerini sıkıştırarak kan pıhtılarını yakalayan benzersiz, özel şekilli bir delik tasarımına sahiptir.





